Patients
Cases Gallery


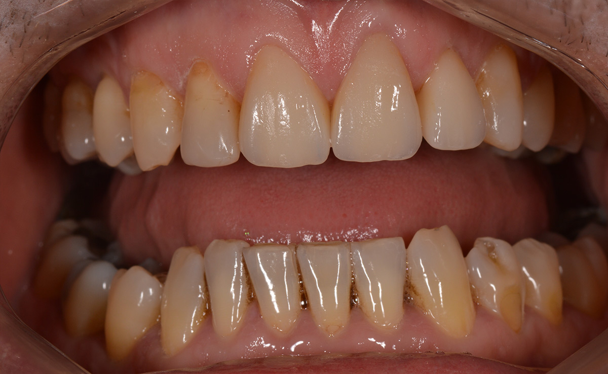
Smile Makeover
Smile makeover performed on patients very worn down teeth. A mixtures of crowns and composite bonding was used to bring back a very natural result.


Tooth Whitening
Tooth whitening using the boutique tooth whitening system.


White Filling
Replacing an old metal amalgam filling for an aesthetic tooth coloured composite.


White Filling
Tooth coloured composite used to mimic natural teeth.


Veneers
Porcelain Veneer used to mask an discoloured tooth and bring forward to match the adjacent teeth.


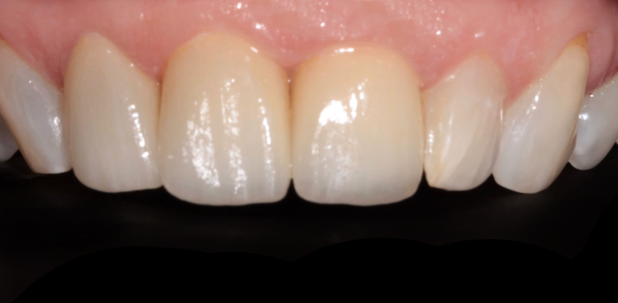
EMAX Smile Makeover
2 Emax crowns fitted to patients front teeth to disguise cracks and discolouration. Great care is taken during shade and shape selection to ensure a perfect match.


Braces
Barely visible braces system used to algin this patients teeth. Treatment time was around 6 months.


Invisalign
Invisalign is used to close gaps in patients’ teeth.


Icon White Spot Treatment
Icon system used to remove white spots from patients teeth. No drilling required, resin infiltration technique used.


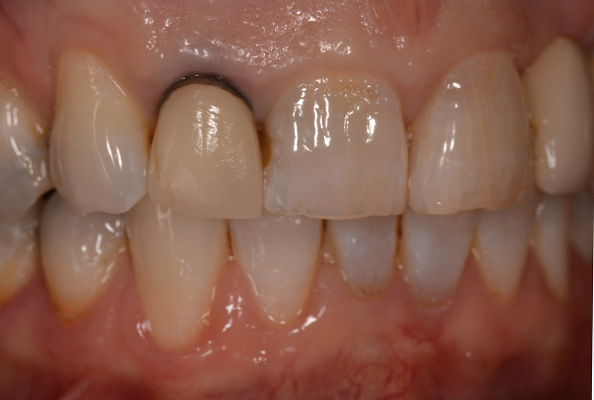
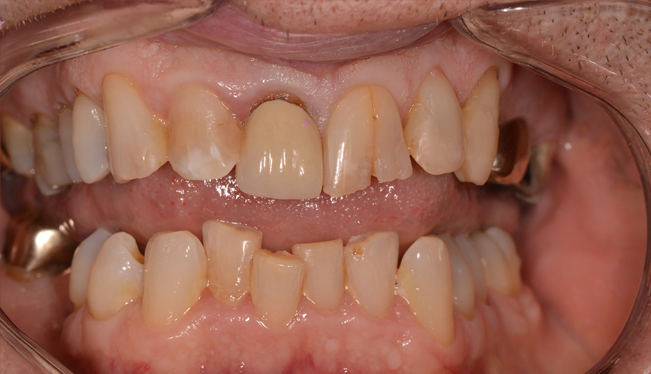
Crown
Old unaesthetic crown replaced with metal free option.


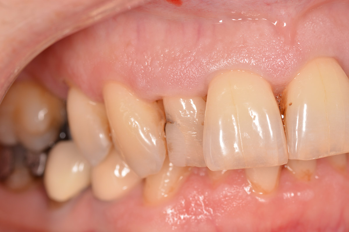
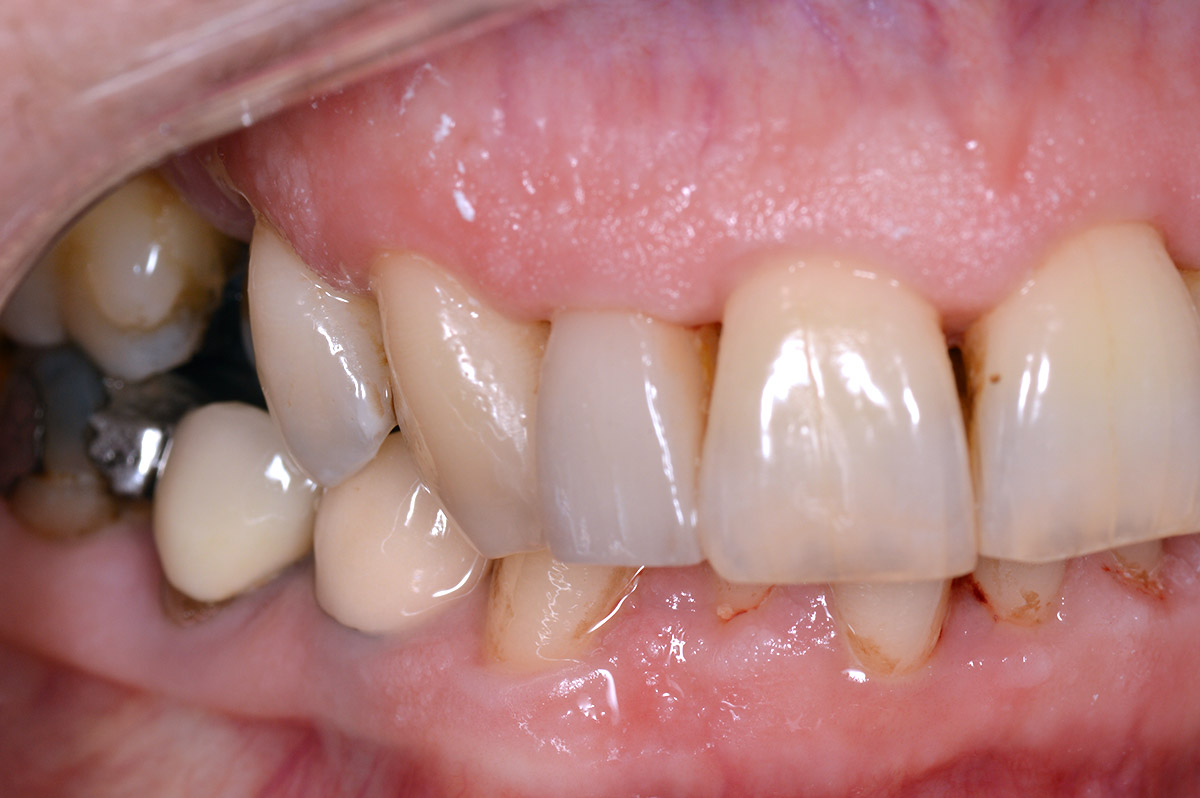
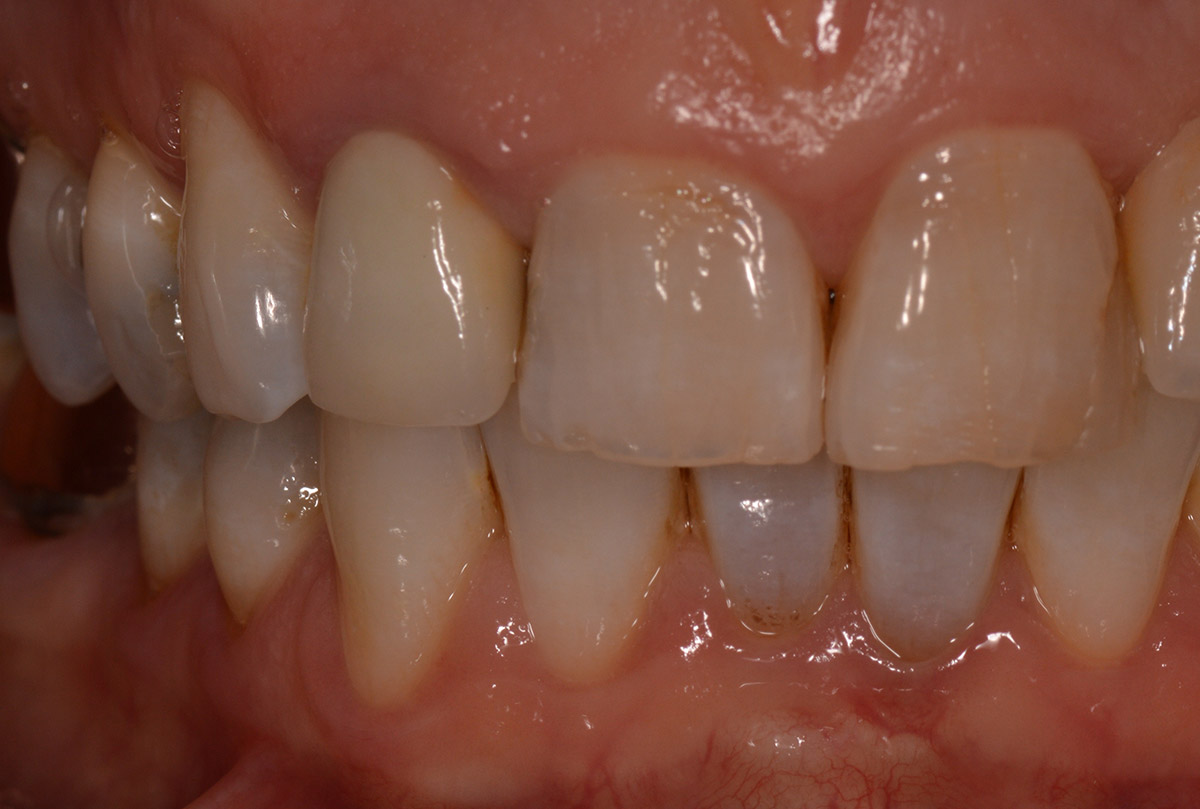
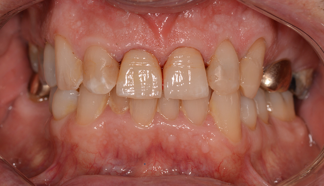
Crowns
Patients 2 front teeth replaced with accurately matched crowns.


Smile Makeover
Patients upper teeth disguised with a mixture of crowns and veneers to achieve a fantastic new natural smile.
Your Smile. Our Passion.
Book an appointment online today with one of our experts.


Opening Hours
Monday: 9:00 – 17:30
Tuesday: 9:00 – 17:30
Wednesday: 9:00 – 17:30
Thursday: 9:00 – 17:30
Friday: 9:00 – 13:00
Saturday/Sunday: Closed
322 Bilton Road, Bilton Rugby, Warwickshire CV22 7LU, England
01788 813777 | [email protected]